

什么是3.0T MRI?


选择3.0T MRI的N个理由

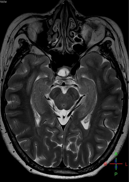
01
更清晰


02
更高速


03
更稳定


04
更精准


05
更舒适


06
更经济


没有图像就没有影像医学,而图像的可靠优质获取是影像医学的基础和前提。3.0T磁共振机的临床使用,不仅能够为患者带来更为精准、便捷、舒适、安心、全面的磁共振检查,同时也将进一步促进我院医疗、教学和科研水平的提高。今后,放射科将更好地利用新设备新技术,为临床诊疗工作做好保障!



什么是3.0T MRI?


选择3.0T MRI的N个理由

01
更清晰


02
更高速


03
更稳定


04
更精准


05
更舒适


06
更经济


没有图像就没有影像医学,而图像的可靠优质获取是影像医学的基础和前提。3.0T磁共振机的临床使用,不仅能够为患者带来更为精准、便捷、舒适、安心、全面的磁共振检查,同时也将进一步促进我院医疗、教学和科研水平的提高。今后,放射科将更好地利用新设备新技术,为临床诊疗工作做好保障!
