颅内出血(intracerebral hemorrhage,ICH)作为高致死率、高致残率的脑血管疾病,其遗传致病机制一直是医学研究的重要问题。全球每年有数千万患者受其影响,幸存者常伴随终身功能障碍,给社会和家庭带来沉重负担。现有研究多聚焦于血压控制等后天因素,而遗传因素的调控网络尚未被完全破解。挖掘ICH关键致病基因并阐明其机制,是开发精准疗法的关键。
2026年1月30日,广东医科大学张晶晶课题组在《遗传》发表了题为“基于斑马鱼模型探究synpo在颅内出血中的作用机制”的研究论文。该研究以斑马鱼为模式动物,揭示了synpo基因通过调控cdh2维持脑血管稳态,明确“synpo-cdh2”轴是ICH的关键调控通路,为疾病的遗传机制解析与潜在干预靶点开发提供了全新依据。
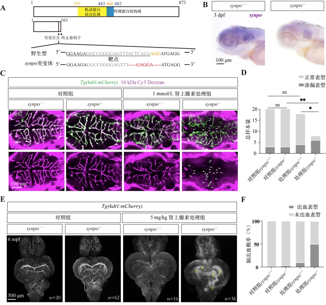
研究人员通过全基因组关联分析筛选出SYNPO作为ICH的遗传易感基因。为验证synpo的功能,该研究利用CRISPR/Cas9构建synpo纯合突变体斑马鱼,结合肾上腺素应激造模(模拟临床ICH常见的血流动力学异常诱因)开展实验。研究发现,synpo突变体幼鱼脑血管渗漏率和成鱼ICH发生率都显著高于野生型(如图所示)。进一步对synpo突变体的鱼脑转录组分析证实,synpo基因通过正向调控cdh2(编码N-钙黏附蛋白)表达维持内皮细胞稳态。当synpo缺失时,cdh2表达下调,脑血管稳态失衡,最终诱发出血。
综上所述,该研究通过斑马鱼模型揭示了synpo在ICH中的关键调控作用,通过全基因组关联分析、基因编辑、病理造模及分子验证等系列实验,从遗传易感、功能表型与分子调控层面系统阐明了synpo通过调控cdh2维持脑血管稳态的核心机制,为ICH的遗传机制解析与潜在干预靶点挖掘提供了实验依据。

synpo突变体在肾上腺素诱导模型中的血管渗漏及出血情况
广东医科大学张晶晶教授和柯珊珊助理研究员为论文共同通讯作者,广东医科大学硕士研究生欧阳沛东为论文第一作者。
该研究得到了国家自然科学基金项目、广东省本科高校教学质量与教学改革工程建设项目、广东医科大学本科生创新创业教育基地项目和广东医科大学附属医院高层次人才启动项目的资助。
文章录用版链接:欧阳沛东, 唐嘉兰, 吴成超, 李晓玉, 柯珊珊, 张晶晶. 基于斑马鱼模型探究synpo在颅内出血中的作用机制. 遗传, 2026. DOI:10.16288/j.yczz.25-281.


