


PEEK(聚醚醚酮)材料因其优异的生物相容性和力学性能,已成为颅骨修补的优选材料之一。术后护理对恢复效果至关重要,以下是专业护理要点:
1️⃣早期(0-7天)重点保持切口干燥,半卧位休息,预防性使用抗生素并监测感染迹象;
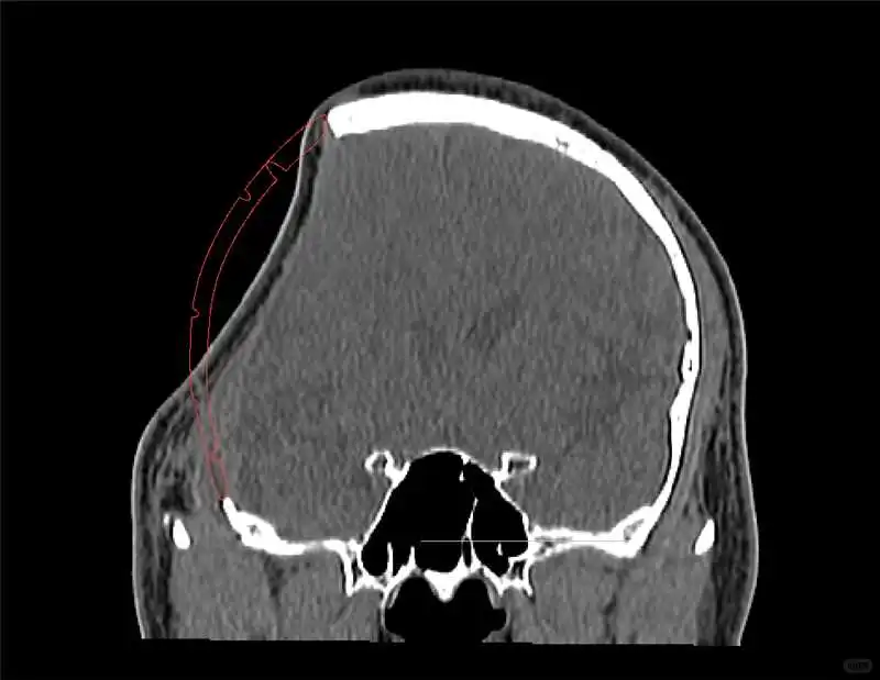
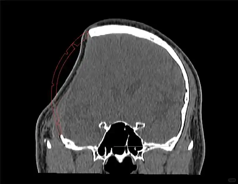
2️⃣中期(1-6周)通过CT评估假体位置,逐步恢复日常活动但避免剧烈运动,密切观察神经功能变化;
3️⃣长期(6周后)关注假体触感适应(约1-3个月),加强康复训练,并严格执行术后3/6/12个月的随访计划,儿童患者需额外监测颅骨发育情况。
?全程需警惕切口裂开、持续发热等急症,PEEK材料因无金属伪影利于影像复查,且隔热特性优于钛网。
? 还想了解关于颅骨修补的相关知识,欢迎在评论区留言~?
#颅骨修补#北京天坛医院#颅骨缺损#神经外科医生#颅骨修补材料#peek颅骨修补 #手术护理
1️⃣早期(0-7天)重点保持切口干燥,半卧位休息,预防性使用抗生素并监测感染迹象;
2️⃣中期(1-6周)通过CT评估假体位置,逐步恢复日常活动但避免剧烈运动,密切观察神经功能变化;
3️⃣长期(6周后)关注假体触感适应(约1-3个月),加强康复训练,并严格执行术后3/6/12个月的随访计划,儿童患者需额外监测颅骨发育情况。
?全程需警惕切口裂开、持续发热等急症,PEEK材料因无金属伪影利于影像复查,且隔热特性优于钛网。
? 还想了解关于颅骨修补的相关知识,欢迎在评论区留言~?
#颅骨修补#北京天坛医院#颅骨缺损#神经外科医生#颅骨修补材料#peek颅骨修补 #手术护理


