一、小脑动脉解剖
1.小脑上动脉(SCA):小脑上动脉为基底动脉的分支,主要营养小脑上面,即供应小脑半球上面、小脑蚓部上部、前髓帆等。
2.小脑下前动脉(AICA):小脑下前动脉主要营养小脑下面的前部,99%起源于基底动脉,但具体位置可有不同:75%起源于基底动脉下三分之一,16%起源于基底动脉中三分之一,9%与椎基底动脉连接。








左侧小脑前下动脉 (AICA) 闭塞导致对应区域脑梗塞
弥散加权图像显示左侧脑桥臂和左侧小脑上外侧出现急性梗塞(a)。计算机断层扫描血管造影显示左侧椎动脉狭窄和闭塞,并且双侧小脑前下动脉(AICA)缺失(b)。DSA显示左近端 AICA 闭塞(c)
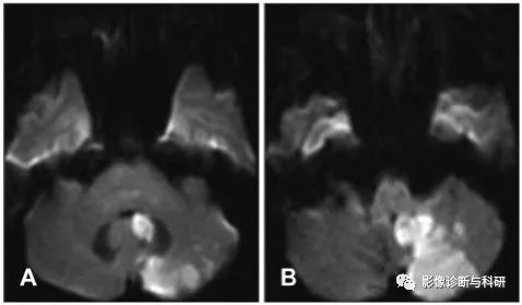
弥散加权图像显示左小脑前下动脉 (AICA) 区域梗死 ( a )。在磁共振血管造影中,左侧 AICA 缺失,而右侧 AICA 清晰可见 ( b )。基础平行解剖扫描磁共振成像(BPAS MRI)显示双侧 AICA 正常(c)
弥散加权图像显示右侧脑桥下外侧、脑桥臂和小脑上有高信号病变(a)。MRA( b),(c)显示右小脑前下动脉(AICA)未见显影

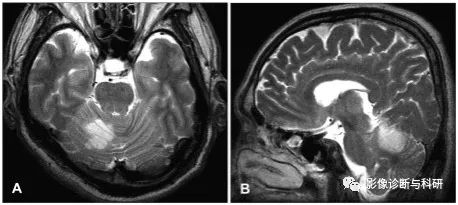
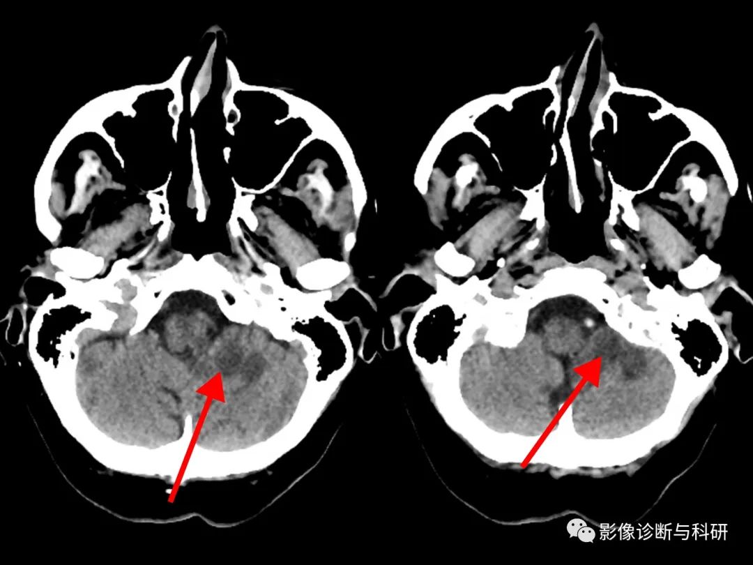
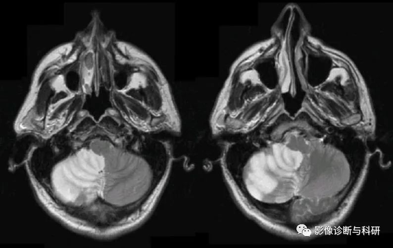
53 岁,男子,眩晕、恶心和呕吐。MR提示小脑后下动脉 (PICA) 分布区高信号,邻近的脑干和第四脑室受到压迫。

