推广 热搜: 采购方式  甲带  滤芯  气动隔膜泵  带式称重给煤机  减速机型号  链式给煤机  减速机  履带  无级变速机 

丘脑的血液供应、梗死临床症状及其相关机制【从解剖到临床】

   日期:2024-04-18 15:25:54     来源:网络整理    作者:本站编辑    评论:0    


点击上方“临床大课堂”→点击右上角“…”→点选“设为星标”,每天第一时间看推送

吴川杰说  ANDS

丘脑的血液供应、梗死临床症状及其相关机制,一定要收藏!小板凳搬来,一起学习吧! 

我们的每侧大脑半球深部各有一个卵圆形的灰质复合体,大小约3cm×1.5cm,基本类似于一个小的红枣大小。

实际中的丘脑并非一个完整的整体,而是由无数神经元核团聚集而成。我相信,最初接触教科书上丘脑的形态都会一脸懵圈,这到底是个什么玩意?

要说复杂,人类现在对丘脑的认识远不止教科书上画的那几个分区,丘脑目前已经可以分为120多个核群,行使不同的生理功能。

但是,一般情况下,这些复杂的分区和功能,临床医生并不需要完全掌握。今天,我们就来去粗取精、去伪存真,用最实用最简单的方法聊一聊丘脑的血供和常见丘脑不同部位损害的临床表现……

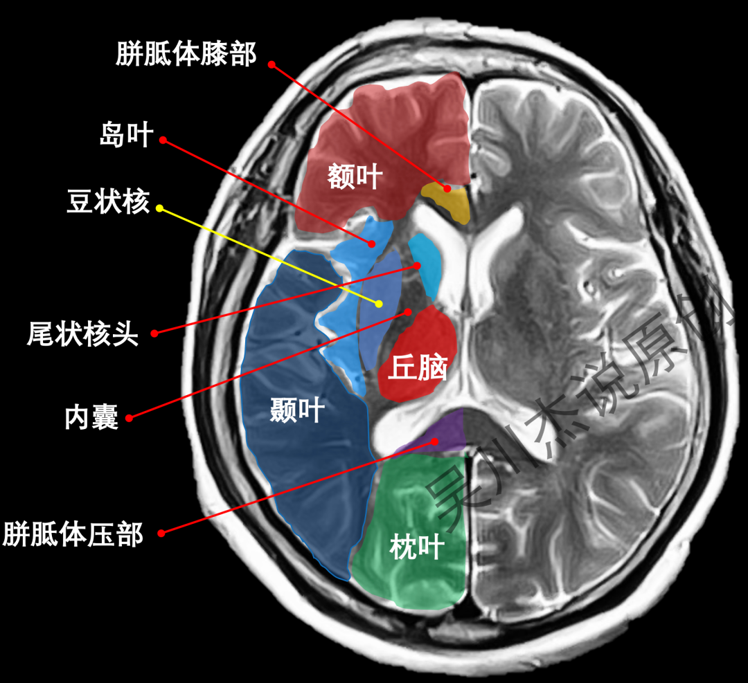
丘脑的MRI位置

不可否认,几乎所有临床医生对丘脑的最初认识都是从CT或MRI上开始的。在我们最常见的头MRI中,丘脑的位置如下图所示:

在上图这个常见的MRI的层面,丘脑就位于中线两侧,上图中中间的红色的部分就是丘脑。

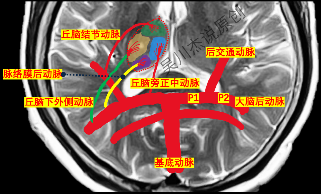
丘脑的血液供应

上面的图片单击可以放大查看,仔细看看,丘脑主要的血供有4个

  • 丘脑结节动脉:又称极动脉,起自后交通动脉。其实极动脉更为形象,从上图看,这根动脉供应丘脑的大概北极的部位。
  • 丘脑旁正中动脉:又称丘脑穿通动脉,起自大脑后动脉P1段。很多书上习惯用丘脑穿通动脉,我更喜欢旁正中动脉。很简单,这根动脉供应丘脑靠近中线的旁边。
  • 丘脑下外侧动脉:又称丘脑膝状体动脉,起自大脑后动脉P2段。朋友们,抛弃这个难以记忆的丘脑膝状体动脉的称呼,丘脑下外侧动脉当然是供应丘脑的下外侧部分了。
  • 脉络膜后动脉:起自大脑后动脉P2段。貌似最后丘脑大概南极位置的血供就只剩下脉络膜后动脉来供应了吧。
放大一点,我们再来看看上图中这4根动脉的供血范围。
下面是一个平面的模式图。
我们再来看看一个立体的模式图,从另外一个角度再来理解一下这四根动脉的起源、走形和分布。
丘脑结节动脉丘脑梗死
这个部位的脑梗死,临床中可表现为意识障碍,精神症状等。波动性意识水平改变,记忆、学习能力受损,人格改变,淡漠,执行功能障碍,忽视,失用……
丘脑旁正中动脉丘脑梗死
这个部位的脑梗死临床表现和丘脑结节动脉相似。主要有意识水平下降,记忆和学习能力下降,定向力障碍,失语,淡漠,激越等……
丘脑下外侧动脉丘脑梗死
这个部位就是我们临床中非常熟悉的丘脑综合征的临床表现,也是丘脑脑梗死中症状最典型的一种。主要临床表现为对侧偏侧感觉障碍,偏瘫,偏侧共济失调,丘脑痛。
偏身感觉障碍这个无需过多解释,腹后外侧核和腹后内侧核都在这个部位,患者常常有完全的偏侧面部、偏侧肢体、偏侧躯干的麻木。
偏瘫,这个部位脑梗死引起的偏瘫多数是在梗死面积稍大时出现,并且偏瘫一般不严重。我个人理解,偏瘫并非锥体束直接受损,而是丘脑这个部位临近锥体束,梗死较大的水肿、炎症反应等影响了内囊的锥体束。所以这个部位导致的偏瘫一般不严重且很容易恢复。
偏侧共济失调,偏侧感觉性共济失调,这个无需过多的解释。
丘脑痛,一般在脑梗死后不会马上发生,患者多数在梗死恢复期逐渐慢慢出现并加重。患者常常很痛苦,有偏侧持续的烧灼感,并且更让人痛苦的是这个症状一旦出现,治疗效果很差。
脉络膜后动脉丘脑梗死
这个部位脑梗死很少单独累及,常常同时伴有其他部位的损害。
外侧膝状体和内侧膝状体都包含在这个部位,所以患者临床症状主要有视野缺损、感觉障碍、失语、记忆力下降……
吴川杰说
丘脑梗死中,最经典的是丘脑下外侧动脉支配区域缺血,导致丘脑综合征的典型临床表现。
但是,并非是丘脑其他部位的损伤不常见,而是其他部位的症状多表现为精神症状、认知改变等,不够典型,很多其他部位的损伤都会有类似的临床表现。

‍丘脑梗死临床症状及其相关机制详解

1、丘脑内侧部梗死
丘脑内侧部分以背内侧核为主,属于新丘脑,它与额前皮质、额叶眶皮质和颖叶新皮质均有广泛的连接环路,这些连接参与情绪 以及伴随情绪的内脏反应。
当供应丘脑内侧部的丘脑旁正中动脉发生梗死时,产生的主要临床症状为急性卒中样起病,表现为波动性的意识障碍、遗忘、淡漠,同时可伴有动眼神经麻 痹,垂直性注视障碍等。患者多以嗜睡起病,出现短暂 意识障碍,同时伴有不同程度的意识水平下降,持续时 间不等,梗死面积大者持续时间较长。报道中指出,患者出现过度嗜睡、定向障碍等症状可 能与背内侧核或丘脑前核损伤有关。
双侧丘脑梗死患者由于双侧丘脑的髓板内核及中央正中核血供突然中断,使中脑网状上行激活系 统间联系中断,进而出现丘脑梗死综合征,表现为轻 重不等的意识障碍,脑电图上出现抑制性改变。短 暂意识障碍后出现神经精神障碍,主要表现为认知 功能和行为异常,定向障碍,淡漠呆滞,常有虚构,近事遗忘突出,意志缺乏。主侧病变可出现一过性忽 视及画图抄写能力丧失。这些功能障碍可能与中央 中核、板内核及部分背内侧核缺血受损有关 
通过对临床病例的整理分析,证明背内侧核大细胞部与额叶的联系损伤可出现妄想和虚构。
丘脑背内侧核及前核损伤时可产生严重记忆缺失、人格改变、抑制及主动性下降、时间地 点定向障碍,这可能是因为此区投射到眶额皮质、扣 带回的纤维由于缺血损伤发生中断而引起 
研究发现背内侧核邻近的乳头体丘脑束损伤、丘脑核至海马的联系受阻亦可引起记忆障碍。体征上丘脑内侧部梗死多出现眼位及眼球运动障碍。垂 直性凝视麻痹亦是本病重要表现之一,可为上视麻 痹、下视麻痹或上、下视麻痹共存,这是由于内侧纵 束和眼球运动通路受损所致。其中上视麻痹由内侧 纵束上端背侧受损、下视麻痹由腹侧部受损所致  另外,丘脑旁正中动脉梗死患者还可出现不自 主运动、健反射不对称及巴宾斯基征。
2、丘脑后外侧部梗死
丘脑后外侧部核群包括丘脑背外侧核、腹后外侧核、腹后内侧核和枕核,主 要由丘脑膝状体动脉供血。当丘脑膝状体动脉梗死 时,造成丘脑腹后外侧核缺血,损害了内侧丘系和脊 髓丘脑束的纤维,出现突然或逐渐发展的病灶对侧 躯体麻木,可继之以偏身感觉缺失,即出现感觉性脑 卒中,表现为半身、不包括面部的半身、面部与手或 面部感觉障碍。当梗死面积较大,病变累及丘脑腹 后外侧核及其附近内囊后肢的皮质脊髓束,则出现 感觉运动性脑卒中,表现为对侧中枢性轻偏瘫及偏 身感觉障碍,而言语、认知功能和行为正常。
丘脑综合征的出现则是由于梗死累及丘脑结 构中的初级感觉核鄄腹后外侧核、腹后内侧核、内侧膝 状体、枕核和中央中核,造成丘脑膝状体动脉供血区 的大梗死而引起,可出现以下一个或多个症 状。 ①对侧半身感觉障碍,伴丘脑痛(腹后外侧核受 损);短暂性或持续性对侧轻度无力,舞蹈样或手足 徐动(椎体外系受累);躯体性共济失调(丘脑腹外 侧核与红核、小脑齿状核的联系受影响);偏侧肌张 力障碍、丘脑手或偏侧舞蹈样动作(豆状核受累);对侧情感性面瘫(丘脑-苍白球-面神经通路受损)。
当患者出现深浅感觉均消失时,可能是缺血造成丘脑内侧部和外侧部至皮质感觉区的联系纤维损 伤所致,CT 检查一般可见梗死面积较大,深浅感觉 均消失者也可发生迟发性丘脑性疼痛和轻度言语不流利 。
3、丘脑前外侧部梗死
丘脑前外侧部的主要结构是腹前核群,它与乳头体及扣带回有联系,该结构 的损害势必影响到情感意识的分辨和分析能力,使 内在情感的驱动力下降,此部分主要由丘脑结节动 脉供血。当丘脑结节动脉闭塞时病变主要累及腹外 侧核和背内侧核,最常见的症状是意志缺乏。患者缺乏主动性,对询问延迟回答或回答很简单,表情淡 漠,懒散无规律,不修边幅,反应迟钝,对周围事物缺 乏兴趣 。左侧丘脑梗死患者均出现言语障碍,主 要表现为主动语言减少,找词困难,不能完整表述一句话;命名障碍,语言阅读和理解力中度受损,复述 能力相对保留;计算力及定向力明显减退,延迟记忆 力下降;视空间觉无明显异常。
据文献报道,丘脑结节动脉梗死患者其左 侧的缘上回,颖上回,额中回、下回以及左侧丘脑的 前核和背内侧核的局      少。 通过研究发现,左侧丘脑前核损伤会导致语言 流畅性障碍,其中患者的语音流畅性的损伤比语义 流畅性损伤更为严重。另外,有文献报道提出 语音流畅性障碍更多归因于额叶功能的损伤,而语 义流畅性障碍则更主要是由于伴随着颞叶功能的损 伤。丘脑前部含有连结丘脑和额叶投射系的大部分 纤维,这些纤维连接着丘脑背内侧核、带状回、前额 回,共同组成边缘环路,即 Papez 环路,在维持记忆力 方面起着重要的作用。该环路受损时,表现出额叶 症状和健忘症,即记忆力减退、意识障碍、嗜睡、言语 减少等 。左侧丘脑损害引起记忆障碍已被多数学者承认,而右侧丘脑损害是否引起记忆障碍尚有不同看法。
4、右侧丘脑梗死
右侧丘脑梗死主要表现为左半身丘脑性忽视症,皮质下结构受损产生单侧视空间功能受损,其机 制是 :皮质下结构(尤其是丘脑)的损害,在皮质 下水平阻断了皮质-边缘系统-网状结构激活环路,导 致唤醒和注意的缺陷,从而诱导和产生皮质下视空 间忽视症。另外还可出现病变对侧感觉障碍,偏瘫(上肢重于下肢),构音障碍,健反射不对称及偏侧共济失调。

丘脑梗死的特殊临床表现

1、丘脑性失语
丘脑性失语是皮质下失语的一种,患者常具有共同的语言障碍特征,表现为语音 低、语量少、词义性错语等典型特征,被认为是丘脑性失语的三大核心症状 语音低:丘脑性失语患者谈话时多呈低音调,严重时甚至似耳语,但一般不伴构音障碍;语量少:丘脑性失语患者自发性言语减少,言语流畅性减低;语义性错误:语义性错 误是在皮质损伤出现失读的患者身上表现的主要特征,表现为找词困难,有时伴有错语。
此外,患者还出现命名障碍、失读症、失写症等症状,但一般复述 能力相对较好。丘脑性失语常作为丘脑梗死急性期 症状或首发症状突然出现,且常伴随偏瘫体征,且多 为不完全性轻瘫。
丘脑性失语的发生机制尚未完全明确,目前认为丘脑性失语的产生与腹外侧核受损有关。腹外侧 核受损导致丘脑与额叶的联系中断,使得丘脑对额 叶语言区的言语激活及调节作用丧失,同时因腹外 侧核对优势侧额下回后部,即 Broca 区有调节和促动 作用,并经上纵束作用于Wernicke (颞上回后部),这些联系纤维中断也可导致丘脑性失语的产生。
2、丘脑性痴呆
丘脑性痴呆是血管性痴呆的一种,临床上比较少见。记忆障碍:包括瞬时记忆、 近记忆力、远记忆力障碍,主要表现为近记忆力障 碍;认知障碍:表现为智力减退,缺乏判断力,时间、地点、人物定向力均障碍;语言障碍:言语含糊 不清,自发语言减少,音量降低,言语缓慢,严重时出现缄默;精神行为异常:表现为淡漠,注意力不集中,运动减少,终日呆坐。
丘脑性痴呆的发生主要是由于梗死导致丘脑前核和乳头丘脑束受损,使乳头丘脑束构成的乳头体 与丘脑前核之间的往返纤维发生中断所致。同时, 指出丘脑性痴呆可能是由于连接 丘脑和网状结构至额叶的通路发生中断导致额叶皮 质功能弱化所致。可见丘脑性痴呆是由于丘脑及丘 脑与皮质间的广泛联系受损引起的。因此,当丘脑 旁正中动脉与丘脑结节动脉梗死影响上述部位,即 可出现痴呆症状。
3、丘脑手
丘脑手往往表现为对侧上肢出现 挛缩;手腕部屈曲和旋前,手和手指不断地处于特征 性姿势,即各手指末关节呈过伸位,各手指中节关节 呈屈位,掌指关节屈曲使手指也屈曲;各手指缓慢地 一个一个运动,多数手指运动障碍;腕关节多数呈尺侧偏位;可同时伴有静止性震颤或意向性震颤,舞蹈 样动作;一般无感觉障碍。
丘脑手常见于单侧丘脑旁正中动脉梗死,尤其是动脉主干的梗死,导致丘脑内侧核群及背内侧核、 中脑脚间核、结合臂交叉、红核内侧等核团受损所 致。因这些丘脑核团与锥体外系纤维发生联系,尤其中央中核与壳核和尾状核有纤维联系,而且又使 红核受损,造成红核脊髓束及红核鄄脑桥核鄄对侧小脑 齿状核间接受损,从而产生锥体外系症状,丘脑手的 产生与此有关 
4、发作性跌倒
发作性跌倒表现为平卧无头晕, 起床及行走时突然出现头晕、站立不稳,自感下肢突 然无力而摔倒,短暂的肢体无力后便很快恢复,同时 还可伴随偏瘫、深浅感觉障碍、感觉性共济失调等症状。
发作性跌倒可能是丘脑旁正中动脉与丘脑膝状 体动脉梗死所致。
前庭系统的主要作用是维持身体平衡,前庭外侧核发出重要的前庭脊髓侧束,在同侧 脊髓前索下行,直至远达骰节的脊髓γ和α运动神经元,以保持全身肌肉具有足够张力,维持身体平衡。
当丘脑穿过动脉与丘脑膝状动脉阻塞,病变损 害脑干网状核、中脑被盖部及红核,引起红核鄄网状脊 髓束、前庭脊髓束出现障碍,使下肢肢体不能维持张 力而跌倒。

结语

近年来,关于丘脑梗死的临床症状及其发生机制已经逐渐成为临床工作者的研究热点。目前,丘 脑梗死的治疗主要是扩容、抗凝、神经细胞活化剂等 药物治疗,根据梗死面积的大小可适当应用脱水药 物进行治疗,对一些发现较早的病例,可选择溶栓药 物治疗。但丘脑梗死临床表现确切的发生机制仍不清楚,关于丘脑梗死的研究多为回顾性,有一定的局限性,无法对不同患者制订绝对有效的治疗方案与 康复计划。因此,有必要进行前瞻性多因素分析研 究。通过对丘脑梗死临床症状与相关供血血管之间 关系进行总结分析,可以进一步加深了解丘脑梗死 的相关机制,从而对临床诊断及治疗工作提供帮助。
——————以下内容含广告——————
卫生中/高级职称考试作为医护人员职业生涯中难度最高的考试之一,提前备考准不会错!
俗话说:“不打无准备的仗”
充足的时间备考加上有技巧的备考,才能在考场坦然自若!???
考试咨询可添加微信
了解具体考情
还能领取免费备考资料哦
  多种班型 供你选择 
内含独一家的“通关秘籍”!
数万网友倾情推荐!
押题圈题精准 通过率极其高
添加微信可免费领取备考资料
 
打赏
 
更多>同类资讯
0相关评论

推荐图文
推荐资讯
点击排行
网站首页  |  关于我们  |  联系方式  |  使用协议  |  版权隐私  |  网站地图  |  排名推广  |  广告服务  |  积分换礼  |  网站留言  |  RSS订阅  |  违规举报  |  皖ICP备20008326号-18
Powered By DESTOON