“通过对比三区设计组与迈儿康全屏非球面设计组同时配戴后眼轴的变化,证明了迈儿康对眼轴控制的强效性。”川北医学院附属南充市中心医院眼科主任、眼视光医学院副院长邹云春教授在刚刚举行的2024'中国医学装备协会眼科专业委员会与中华眼科医学杂志(电子版)年会上发布了迈儿康强效款最新一年期临床研究结果,并表示:除了强效性得到验证之外,迈儿康使用Hexafocon-B材质,高达141的透氧系数,更加安全地保证了配戴患者角膜的安全性,这一点也在本次临床试验中得到了有效证实。

大会围绕医学装备技术创新、产业发展和临床应用,解析相关政策,探讨行业发展趋势,展示最新技术,交流学科建设,分享工作经验,促进医学装备安全有效应用,推动行业高质量发展。

川北医学院附属南充市中心医院眼科主任、眼视光医学院副院长邹云春教授在大会屈光不正防治学术研讨会上分享了myOK强效设计一年期的临床研究结果。

结果显示:迈儿康使用Hexafocon-B材质,高达141的透氧系数,更加安全地保证了配戴患者角膜的安全性。

迈儿康角膜塑形镜在提供患者日间裸眼视力的同时减缓了眼轴的增长,证明了迈儿康的有效性。通过对比三区设计组与迈儿康全屏非球面设计组同时配戴后眼轴的变化,证明了迈儿康对眼轴控制的强效性。
A组眼轴前6个月缩短趋势,6~12月呈现增加趋势;B组眼轴持续逐渐增加;戴镜12月后,A组眼轴平均值增加0.04mm,B组眼轴平均值增加0.25mm,两组之间AL增加值差别具有统计学意义(P<0.05)。
为了探索更多的关于不同设计OK镜对于近视管控机制的相关性因素,该研究中也对于像差、晶体厚度、前方深度、视网膜屈光力等进行更多的统计学分析:
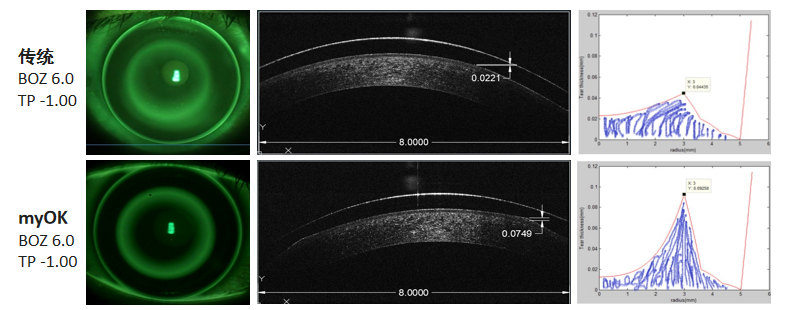
1. 通过前节OCT发现全屏非球面组在角膜前表面产生更高的矢高(变异系数)更大;

2. 通过视网膜周边屈光力的变化,在配戴后视网膜周边离焦由远视化朝近视化漂移,全屏非球面的改变更为显著:

通过以上的研究数据,myOK4.0强效相较于传统设计增加配适稳定性和舒适度,增加周边离焦量,同时保证离焦刺激有效入瞳进而对缓解眼轴增长起到更为有效的控制作用。
可视区、视觉质量与近视控制之间的平衡点仍然有待进一步的研究,目前在川北医学院附属眼科医院已开启更长时间的临床实验观察,让我们期待myOK强效4.0为大家带来更加令人振奋的近视管控效果。
据悉,该论文已入选第二十四届国际眼科学学术论文选集,具体论文内容敬请期待。
来源:上海亨泰视觉
眼视光观察值班编辑:陈佳 总编:张玲
合作、投稿邮箱:Lynnzhang326@126.com


