做中国最值得信赖口腔科普
助力您寻找靠谱的口腔医生
在日常生活中,哪些行为对牙齿的杀伤力最大?
牙齿如何一步步被腐蚀掉

这个是牙齿泡在碳酸饮料里一年的变化
这些形形色色的饮料对牙齿的攻击指数强大到爆表。
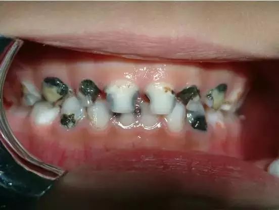
不信的话,一个真实案例告诉你,饮料是如何毁掉我们的牙齿的。




发生这样的悲剧,只是源于一个寻常的生活细节,这些人都非常爱喝碳酸饮料。那么,问题来了。一杯汽水罢了,怎么会那么可怕呢?
因为,大部分饮料的PH值在2.2 - 4.9之间,而牙齿表面珐琅质的溶解临界PH值是5.5!如果你饮料不离口,就等于是把牙齿泡在这样的液体中,慢慢溶解!
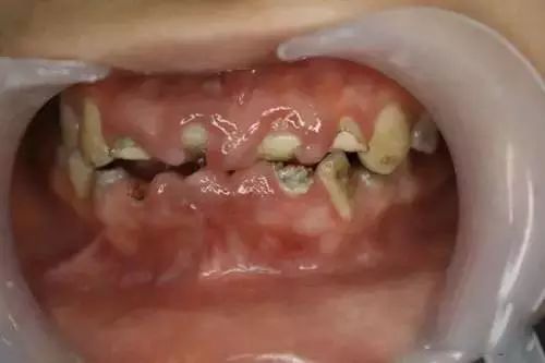
在最极端的状态下,它甚至可以毁掉你的整口牙齿!
如下图

这是一个来自美国的真实案例。这位酷爱可乐的男孩年纪轻轻就失去了所有的牙齿不得不装上全口假牙。
在医学领域,这一现象被称作“酸蚀症”,简单来说就是牙齿长期广泛接触酸性物质造成的牙齿硬组织溶解丧失。
特别需要重点指出的是:对于儿童来说,饮料的杀伤力更大!因为刚萌出的牙齿尚未钙化完全,更容易被酸性物质溶解侵蚀。更何况,小朋友还特别喜欢喝甜甜的饮料,同时又尚未掌握刷牙的正确技巧。
所以在此提醒各位家长:让你的孩子尽量少喝饮料!
那么问题又来了。汽水不能喝了,果汁总可以吧?
愿望是美好的,答案是残酷的。虽然这些饮料不含碳酸,但仍然含有丰富的糖分,这些糖分遇到口腔中的细菌,也会发酵产酸,继而导致牙釉质脱矿溶解。
人生真是无处不纠结啊。想保护牙齿,又忍不住口腹之欲,怎么办?其实只要掌握了正确方法,喝点饮料也无妨。所以,如何正确的喝饮料,绝对是门技术活。
如何预防?
2.喝完饮料及时漱口。但是不要立即刷牙!因为刚喝完饮料口腔内PH值较低,牙釉质被软化,立即刷牙可能会造成牙面磨耗,半小时后才可以刷牙。
3.使用含氟牙膏。氟能与牙釉质发生反应,减少牙釉质在酸性环境中的溶解,促进釉质矿化使牙齿变得坚固。另外,氟还能干扰糖的发酵,从而减少糖代谢而产生的酸,有助于阻止牙酸蚀症的发展。
4.定期涂氟。对于尚未掌握刷牙技巧的儿童来说,涂氟是坚固牙齿的最佳选择。同时还可以加强牙齿的钙化,增强抗蚀性。
本文来源于网络;版权归原作者所有,如有违规、侵权请联系我们,本平台会及时做出处理。



