风电齿轮箱会受到各种各样运行工况的影响,其中一些工况可能会迫使轴承在超极限状态下运行。因此,轴承可能会损坏,出现一种特殊的过早失效模式:白蚀裂纹。有时它也被叫做脆化、短寿命、早期异常失效或白色结构剥落。本文将讨论如何让轴承在这些工况下更稳定运行的措施。


全世界雄心勃勃的可再生能源目标正推动风电成为一种主流能源。全球风能理事会[文献1] 预计,2022年全球现有的906 GW风电装机容量在三到四年内将会每年递增15%,距离2025年风电装机容量达到1281 GW的宏伟目标并不遥远。
尽管风电的利用率很高(>96%,取决于风电机组),机械部件的故障率相比电气部件要低,但机械传动链故障仍会导致很高的修理费用,而且长时间停机也会减少收入[文献2]。
在大多数风电机组的设计中,齿轮箱通常用于把转子转速提高到发电机的转速。如今,风电齿轮箱的实际使用寿命通常低于20年的设计寿命,在多个轴承位置都有可能出现故障,比如行星轮轴承、中间轴轴承和高速轴轴承(图1)。

图1:标准兆瓦级风电齿轮箱(三点悬挂)有一个低速行星齿轮级和两个正齿轮段(高速中间轴和高速轴),标黄位置的轴承特别容易受到过早失效的影响。
齿轮箱轴承过早损坏所导致的失效模式,大多不同于典型的滚动接触疲劳模式(图2)。这些典型的模式都是由表面起源型疲劳和次表面起源型疲劳引发的,可以用标准轴承寿命计算方法(参见ISO 281和ISO/TR 1281-2)来预测,但这些方法都无法预估过早裂纹失效。不过研究人员在能获得这种工况详细信息的情况下(如圆周应力的局部影响),尝试做了轴承寿命计算[文献37]。

图2:典型的疲劳失效模式与裂纹和白蚀裂纹。
*依据文献5的显微照片
**依据文献6的显微照片
ISO 15243介绍了传统滚动接触疲劳模式的视觉外观。
白蚀是指对试件的显微切片进行抛光和浸蚀时发现钢材微观结构发生改变的外观。受影响的区域由超细的纳米再结晶无碳铁素体组成,因材料的浸蚀反应较低,在光学显微镜下呈白色。
已经知道它只是在一些工业应用中偶尔出现,比如造纸厂、连续变速传动、船舶推进系统、破碎机齿轮箱或起重机齿轮传动等。在风电应用中,过早失效的频率好像更高(但也可能与安装的风机数量较多有关)。通常在运行期的前一至三年或计算额定寿命的5%至10%时,就会出现早期裂纹(图3)。

图3:典型工业机器的过早失效,是同样具体环境中同样机器的轴承在持续和较短的时间段内失效。这个斜率不同就是“典型疲劳以外因素”的预测指标。如果对轴承-轴-轴承座系统不采取进一步措施,那些使用寿命较短的轴承更换后其使用寿命仍有可能很短。
大多数裂纹发生在内圈上(图4),早期裂纹的外观多种多样,从直裂纹(轴向裂纹)到裂纹外加小块剥落或大块的严重剥落。SKF根据不断积累的现场经验,认为裂纹带来的早期失效既与轴承的具体类型没有关系(图5),也与具体的标准热处理方法没有关系(图6)[文献6] [文献7] [文献8] [文献9] [文献10]。

图4:失效外观:a) 直裂纹,b) 直裂纹和小剥落,c) 大块剥落。

图5:受影响轴承的典型类型:a)圆锥滚子轴承,b)圆柱滚子轴承和c)球面滚子轴承。
但是失效的外观与热处理(如残余应力区)和失效所处的阶段有关,更有可能与运行条件和轴承位置(承载的应力区)有关。在图6中可以看到,对具体应用中的早期裂纹,马氏体处理的轴承套圈中的裂纹趋于直接扩展到材料内部(呈现直线“轴向”裂纹外观,如图6a),而在贝氏体处理(图6b)和渗碳表面淬硬轴承套圈中,裂纹趋于在滚道下呈圆周状扩展(这解释了剥落或断裂类外观的起因,见图6c)。然而在失效的末期,内圈滚道通常出现严重剥落,这与热处理类型无关。

图6:标准热处理的裂纹扩展模式:a)马氏体,b)贝氏体和c)表面淬硬(表面渗碳)[文献6]。
风电齿轮箱运行条件带来的挑战
风电齿轮箱会受到各种各样运行工况的影响,可能迫使轴承在超极限状态下运行(例如载荷、转速、润滑等参数中一个或多个超极限)。风电行业面临着一些最严峻的挑战,即需要延长轴承寿命,减少过早失效,同时还要降低总能源成本。
业界已经公开总结了与风电机组应用中过早失效相关的恶劣运行条件的常见观点,包括:
周期性的重载荷和动载荷及扭矩 ——导致振动和快速负荷变化,如瞬时滚道应力超过3.1GPa、每年15,000次的重载荷、冲击载荷)[文献6] [文献7] [文献11] [文献12] [文献13] [文献14] [文献15] [文献17] [文献18]。
取决于风电机组的类型,转子带来的额外径向力和轴向力以及主轴的轴向移动 —— 导致动态载荷,齿轮箱部件出现很高应力,特别是在第一级轴[文献19] [文献20]。
发电机与电网时连时断 —— 导致扭矩翻转和跳动效应(例如产生的扭矩是名义扭矩的2.5-4倍,同时还有冲击载荷)[文献12] [文献15] [文献21]。
快速加速或减速和齿轮箱轴的移动[文献13] [文献15]。
不对中、结构变形(机舱轮毂、轴承座)[文献11]。
齿轮和轴承之间所需润滑剂的泄漏、低速轴和高速轴之间所需润滑剂的泄漏、排油不充分和加油周期太短[文献22]。
苛刻的环境条件。在灰尘、寒冷、海上、潮湿的环境下,巨大的温度变化造成轴承内圈和轴承座之间的温差比启动时预期的要大 [文献23]。
空载状态 —— 导致低负荷状态和滑移损坏(粘滞磨损)风险[文献23]。
一些设计要求可能产生相互冲突,例如增大滚动体尺寸能提高承载能力,但同时会增加保持架和滚子之间的滑移以及滑移损坏的风险 [文献6] [文献7] [文献17] [文献23]。
如上所述,轴承可能因其它原因而失效,而不能归因于低于最典型做法的标准[文献24] [文献25]和其他行业经验。对有限数量的海上风电机组[文献2]的统计评估清楚表明,故障率与风速、重载和波动载荷之间存在关联性。现在的趋势是生产更大尺寸的风机(具有更高的功率和重量比),这将不可避免地使用更柔性的支撑结构[文献11],而这反过来又会影响滚动轴承和其他传动部件的载荷分配和分布。根据文献26的描述,具有高创新产品设计寿命周期的“新型”重载应用,在设备耐久性方面往往缺乏足够的经验。轴承上出现裂纹有时还被解读为不受控的运动学特性[文献19] [文献27],这与风电主机和齿轮箱制造商无关。
“滚动表面裂纹”的可能驱动因素以及假设回顾
风电行业对过早失效的讨论非常热烈,风电主机制造商、齿轮箱制造商、轴承供应商、大学和独立机构都为此展开过独立研究,不过迄今为止始终没有形成连贯一致的理论。而罗列和解释所有白蚀裂纹失效根源的种种假设,则超出了本文范围。
但本文把文献中的许多现有理论简要汇总在图7中。许多文章(例如文献10)讨论了在某些特定影响因素作用下,轴承材料的微观结构会局部变成白蚀裂纹。

图7:根据现有的文献理论,a)某些影响因素使微观结构局部改变成白蚀区域,b)白蚀区域是白蚀裂纹的起点, c) 最终裂纹扩展到轴承滚道而出现白色结构剥落。
下面的驱动因素经常被作为影响因素提到:
材料
微观结构、热处理、天然氢含量、清洁度(杂质的不同类型)、残余应力等。
载荷
过载、峰值载荷、冲击载荷、扭矩翻转、振动、滑动、结构应力、电流等。
环境
润滑剂、添加剂、腐蚀、摩擦润滑化学效应、氢生成、温度梯度、污染(如水)等。
其他
安装(如划痕)、运输、质量方面等。
多数影响因素都是相互关联的,这增加了复杂性。
因此,在单个或多个因素影响下,轴承钢基体中局部形成白蚀区。然后白蚀区成为裂纹的成核位置,最后裂纹扩展到轴承滚道。结果是轴承因剥落或白色结构剥落而失效。
多数常见的假设可以进一步划分为氢增强引发的白蚀裂纹扩展[文献28] [文献29] [文献30]、纯负荷或应力相关引发的白蚀裂纹扩展(夹杂物处最常见)[文献31] [文献32]或某些复合因素引发的扩展[文献33]。
上述损坏机制中的似乎有一些会影响以下应用:
造纸厂(如润滑油中含水 —— 纠正措施是改善润滑条件)[文献34]。
船舶推进系统(如过高应力 —— 纠正措施是采用特殊的淬透硬化处理的纯净钢以降低应力)[文献32] [文献34]。
交流发电机和发电机轴承(如有害的电流 —— 纠正措施是使用特殊的润滑脂或混合陶瓷球轴承、特殊钢)[文献6] [文献35] [文献36]。
然而,总的来说,这些常见白蚀裂纹假设与风电齿轮箱过早失效的相关性还不是很清楚。
根据SKF经验判断风电齿轮箱白蚀裂纹潜在的根本原因
根据SKF的经验,大多数早期轴承失效与润滑或其他表面相关问题有关,可以用SKF的先进轴承寿命模型来进行部分估算。SKF内部研究已经发现,风电齿轮箱的许多裂纹失效模式很有可能最初发生在表面或靠近表面的地方(0-150 μm),然后在腐蚀疲劳过程的影响下扩展到材料内部[文献6] [文献7] [文献16]。
有几个特征能支持这个假设:
风电齿轮箱轴承相对较大,大轴承的裂纹萌生和扩展机制不同于小轴承[文献6] [文献16]。例如有报告称,中等负荷的大轴承因残余应力和较高的圆周应力会出现较深的径向裂纹[文献37]。
在过早失效的风电齿轮箱轴承中,失效的出现表示裂纹扩展很快。这种快速分叉和蔓延的裂纹扩展,可以用化学影响因素(如含氧)和裂纹面或裂纹顶端的润滑剂老化来解释[文献6] [文献16] [文献38]。
在一个完整的次表面裂纹网中,具备了真空状态,这显著减缓了因纯机械疲劳造成的裂纹扩展[文献38]。换句话说,已经处于早期阶段的裂纹或裂纹网,一定是连接到表面,促使氧气和润滑剂的进入。
氢致疲劳也能导致类似的效应[文献28] [文献33]或加速典型的滚动接触疲劳[文献6] [文献35] [文献36],不过,这需要诸如很差的腐蚀环境或持续通过的高频电流。自由流动的水同样能形成高腐蚀的环境[文献34],但是风电主机制造商宣称能控制润滑剂的水含量。SKF在研究中很少看到风电齿轮箱的潮湿腐蚀。如果可以把这个因素排除,那么就是再生的钝化处理摩擦层能连续并完整,通常能形成防止腐蚀和氢进入钢材的屏障。总之,钢中出现氢吸收是有害的,不过这种失效机制在风电齿轮箱中出现的现有证据还是相对薄弱的。
但是,SKF摩擦润滑化学研究确认,严重的混合摩擦接触会局部产生氢。要持续产生氢,就需要不同的、相互作用的金属表面。这可能会导致表面的局部弱化效应,加速表面裂纹的生成。不过在风电齿轮箱中,轴承失效滚道上几乎看不到严重磨损,这将促使氢的渗入。因此,氢通过轴承滚道渗入(若无其它因素)好像不大可能。只有一种附加的潜在因素:相对劣化的风电润滑油,还混进了污染物[文献39] [文献40] [文献41]。根据SKF的经验,风电齿轮箱润滑油的性能与表面起源型失效模式[文献39](如表面损伤)明显不同。为了量化两者的相关性,需要进一步的研究。目前,氢生成的作用被视作裂纹网中产生的局部效应,是由于润滑剂的进入导致出现腐蚀疲劳裂纹模式的结果[文献6] [文献16]。
材料响应分析中发现的风电齿轮箱轴承通常只有中等负荷、没有压缩残余应力积累(在最大冯米塞斯等效应力区域)、以及在靠近失效轴承滚道处X光衍射线展宽的下降(例如,由于混合摩擦产生的剪切应力和振动),进一步支持了失效是由表面或近表面引发疲劳的观点[文献6] [文献7] [文献16]。最近研究发现,不但润滑不足,而且在较高频率的某些振动效应,都能降低油膜厚度,从而增加局部混合摩擦状态的风险[文献42] [文献43]。
根据文献44描述,白蚀裂纹网的生成受到赫兹应力的影响较小,大部分影响因素都与表面相关。经常争论的夹杂物处产生的蝴蝶状裂纹(其微观结构的变化与白蚀裂纹相似)的作用,被视为典型的疲劳模式的一部分,轴承寿命模型中被大量提及[文献7] [文献44] [文献45]。试验证据很少有支持蝴蝶状裂纹扩展到白蚀裂纹网的说法[文献10]。
蝴蝶状密度高是应力过高或负荷过重(>3GPa)的征兆,但是风机制造商宣称并不存在超载。这一点似乎得到标准轴承箱高加速寿命试验的支持。高加速寿命试验是一种应力试验方法,能在工程开发阶段提高产品的可靠性。金相研究往往发现,轴承中蝴蝶层数量的增多是重负荷试验条件所致,但是现场失效轴承通常没有显示蝴蝶层的显著增加[文献6] [文献7]。特别是在高速轴,通常是中等载荷,但轴承仍会因裂纹和白蚀裂纹而失效,并没有显示出大量甚至单个典型的蝴蝶层[文献6] [文献7]。看来需要进一步改进标准齿轮箱高加速寿命试验,以反映在现场看到的早期失效模式。
然而,只要没有完全了解瞬时运行状态的确切作用,意外出现夹杂物造成的次表面的高应力引发的轴承损坏[文献32]就不能完全排除。现场风电齿轮箱轴承的确切承载状态很大程度上是基于对风场的模拟,以及后来进一步简化为准静态载荷的假设,而且假设轴承在标定状态下承受中等载荷。应当记住:工况是非恒定稳态的,而风电行业对这点的考虑也越来越多。
潜在的损坏扩展
有一个普遍的共识,那就是它并非标定的风电齿轮箱运行状态,而是瞬间、部分未知的状态导致偶尔干扰轴承运动、承载和润滑。基本上,这种状态通过振动引发的局部混合摩擦[文献6] [文献16] [文献47]、不对中或其他已经提到的因素,造成表面很高的应力集中。在粗糙表面的边界润滑区域上,拉伸应力集中在粗糙表面下的高应力区域进行反复循环,有可能增加并产生裂纹[文献48] [文献49]。
如图8所示,瞬时状态能触发表面裂纹,有可能被摩擦润滑化学效应所加剧[文献6] [文献16] [文献39] [文献40] [文献41]或者从靠近表面(<150 μm)的夹杂物等薄弱点开始,最后到达滚道,形成次表面裂纹[文献6]。

图8:a)滚子滚道与局部高牵引力区域的接触(例如因局部混合摩擦)造成拉伸应力;b)拉伸应力导致诸如小裂纹等损坏;c)表面裂纹或裂纹连通到滚道导致润滑油进入;有关区域d)的详情,请参见图12。
夹杂物可以是任何轴承钢中天然存在的软硫化锰或硬氧化物。此外滚道上的硫化锰的小线条有时可被润滑剂溶解,发挥与潜在表面裂纹[文献6] [文献16]或环境腐蚀裂纹一样的作用。图9和图10展示了浅表面裂纹,在早期阶段发现这些裂纹通常需要很大的努力和丰富的经验[文献6] [文献7] [文献16]。

图9:a)滚道上小浅裂纹以及裂纹的进一步扩展,光滑的加工标记表示有潜在混合摩擦状态,b)浅表面裂纹的开口,c)近表面夹杂物引发的表面裂纹(文献6中的扫描电子显微镜金属断面相片)。

图10:汽车应用的滚动与滑动部件裂纹:a)少量的摩擦引发的滚道裂纹 —— 光滑加工标记表示混合摩擦状态,b)圆周显微切片(SKF施韦因富特材料物理所)显示非装饰性裂纹(左)和白蚀装饰裂纹(右)。
图10和图11中显示的裂纹是在汽车高牵引力和接触压力下的滚动与滑动接触面产生的,类似于在3 GPa[文献18]左右的风负荷下的情况。

图11:开口的断面(参见图10a)显示两条裂纹(类似于图9c),它们被腐蚀疲劳裂纹结构围绕(扫描电子显微镜断面金相照片,用背散射电子模式)。
一旦轴承滚道局部损坏,掺有高EP添加剂的润滑剂将渗入裂纹。根据裂纹方向的不同,液压效应将对裂纹扩展推波助澜[文献46]。如图12所示,润滑剂(往往是老化或被水污染)将在材料内部新出现的金属裂纹侧面发生反应。换句话说,腐蚀疲劳裂纹扩展过程开始了。

图12:(图8的延续):a)在渗入后,润滑油和添加剂在裂纹侧面作出反应,局部产生氢,b)和c)氢把靠近裂纹网的局部微观结构改变成白蚀裂纹(从暗蚀区到白蚀区)[文献6] [文献7] [文献16]。
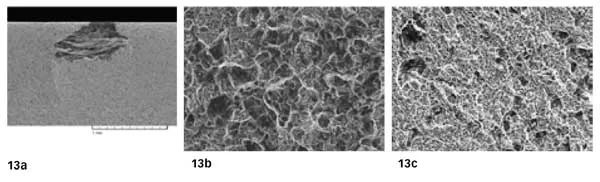
摩擦空白金属裂纹面上渗透油的分解物(添加剂、污染物)释放的氢,造成氢引发的微观结构改变,从而进一步加速了裂纹的扩展[文献6] [文献7] [文献16]。这个结论也得到受损轴承套圈种氢含量的空间解析测定结果的支持,它证实在损坏过程的后期出现了氢吸收[文献7] [文献16]。如图13所示,断口分析的显微研究发现,在预备开口、靠近内圈裂纹的强制断面呈现晶间微观结构,表示老化润滑剂产品释放的氢造成材料脆化[文献6] [文献7] [文献16] [文献41],虽然在远离腐蚀疲劳裂纹的位置,但通常能看到很大的跨晶体断面。对开口的裂纹网中润滑剂和添加剂残留物进行能谱分析进一步支持了这种腐蚀疲劳裂纹模式的存在[文献6] [文献7] [文献16]。

图13:a) 与表面连接的裂纹轴向开口,b)靠近裂纹网的晶间微观结构,c)其它地方的跨晶粒微观结构。
在裂纹网内,腐蚀疲劳裂纹模式把局部微观结构转变成白蚀区,形成不规则白蚀裂纹网(例如图2、6、14)。因此,白蚀裂纹被认为是次生的,是腐蚀疲劳裂纹模式附带产生的结果,因为裂纹侧面释放的氢和分散的能量导致微观结构的局部改变,然后又表现成白蚀裂纹装饰。

图14:不规则的白蚀装饰裂纹网(文献6)。
白蚀裂纹装饰效应的分布和强度比较复杂。这在很大程度上取决于裂纹网内部润滑剂残留的分布、裂纹面的局部摩擦效应和局部等效应力场。
最后,三维裂纹迅速扩展、分叉、折返,导致相关轴承滚动表面的快速失效。
结论和SKF预防策略
风电行业的快速发展、风机尺寸不断增大,以及风场选址在风速不稳的环境中等趋势,都为传动链中的滚动轴承带来严重的挑战。于是为这个新兴的风电行业带来了齿轮箱轴承过早失效的后果。多年来,业内的讨论主要集中在轴承材料和热处理的影响上。最近,业内普遍的共识是,一定的风速状态会干扰轴承运动、载荷和润滑。换句话说,轴承失效的根源不仅仅在轴承本身,而需要考虑轴承和齿轮箱及风机之间的完整应用界面。
本文描述了因裂纹及白蚀裂纹造成的风电齿轮箱轴承失效现象,并介绍了失效的假设。SKF的研究表明,风电齿轮箱轴承关键位置的裂纹失效模式很有可能起源于表面或靠近表面的地方,然后在腐蚀疲劳过程的影响下进一步扩展到材料内部。
由于风电机组非常复杂,受影响的轴承位置也差异巨大,所以不太可能只有一种应用状态的根源。不过可以说,应当避免任何可能导致干扰轴承运动的状态,比如高幅振动和高滑动摩擦,以减少微观磨损和避免增加拉伸应力。
为有效支持风电业,作为一家轴承生产商,SKF正专注于轴承改进,目标是降低轴承过早失效的风险,提高轴承在风电机组应用中特定条件下的稳定性。该解决方案的策略主要考虑了上述的假设,但也考虑了有关白蚀裂纹的常见理论。
内部研究和SKF的现场经验已经确认了大部分失效预防策略的积极作用。迄今为止最新的失效预防措施有:

SKF特别钝化处理

稳定靠近表面的微观结构

使轴承更耐化学腐蚀和氢腐蚀

降低峰值载荷的微摩擦

改进跑合过程

适用于多数应力部件的SKF特殊纯净钢

进一步减少材料中或产生表面应力的夹杂物数量

SKF针对应力最大的部件(样机)的深表面强化处理

能调节部件(调试 - 风机标定的承受中等载荷)

提高抗表面裂纹萌生和次表面裂纹扩展的能力
总而言之,用上述方法改进的轴承能减少过早失效,但需要结合根据实际应用情况所做的其他总体设计改进。因此,需要在设计过程中所有合作伙伴之间的协作,并应当使用先进计算工具来分析运行状态,识别关键运行状态,消除潜在的破坏性运行条件。加强部件试验,并结合实际尺寸的动态试验(例如在国家可再生能源实验室、英国国家可再生能源研究中心、德国弗劳恩霍夫研究所等研究机构所做的实验),应能重现损坏性的运行状态,并测试潜在解决方案。
总结
风电行业的快速发展及其风机尺寸和装机容量的不断增长,再加上恶劣的运行条件,为风电机组带来了富有挑战性的运行环境。理解风电机组早期失效模式(特别是轴承系统),对提供能支持行业可靠发电和经济运行所需的设备至关重要。失效模式是复杂的,减轻这些模式的影响不仅需要深入的研究,而且需要行业所有部门之间的合作。
(来源:斯凯孚(SKF)商业技术杂志《演进》Evolution)