化工塑胶
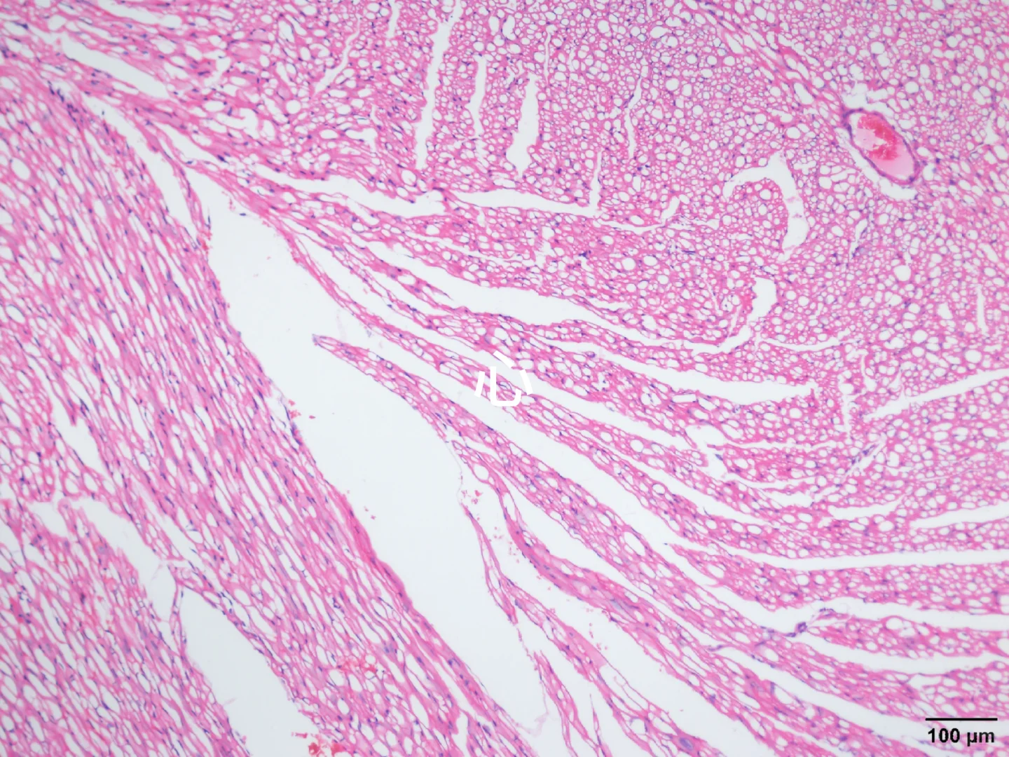
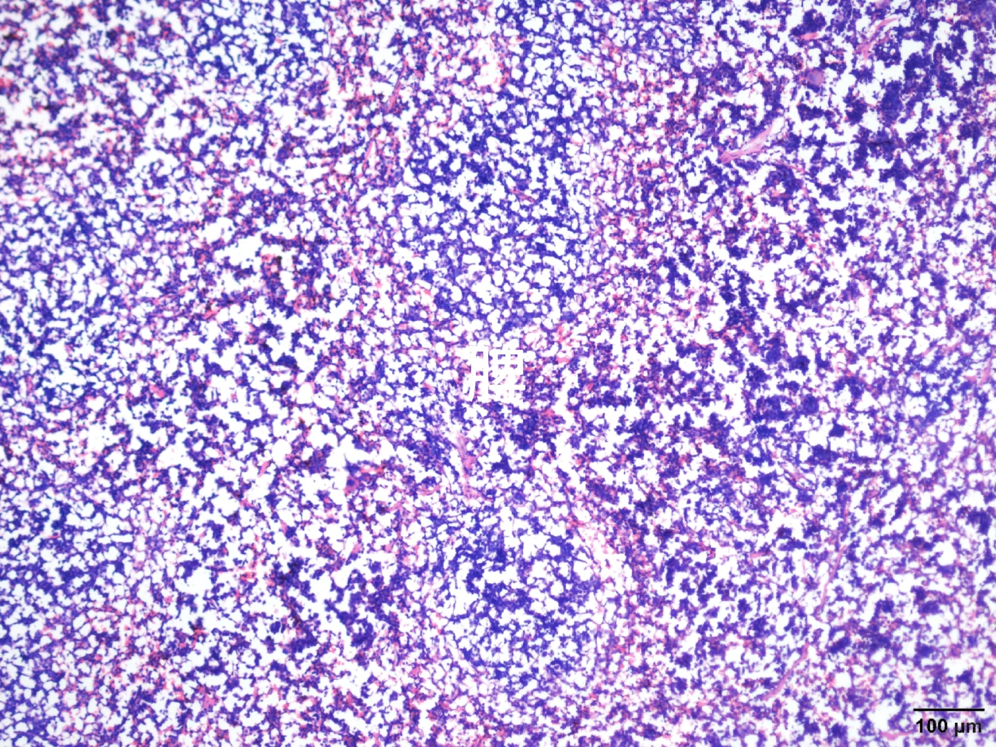
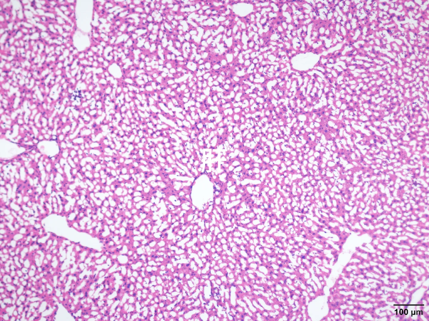
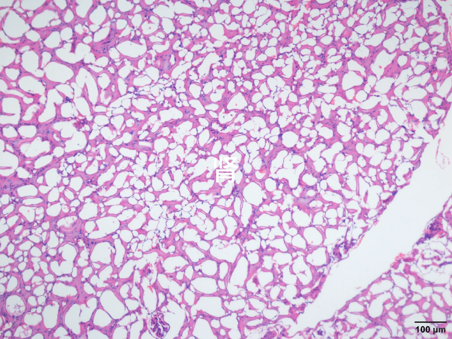
心肝脾肺肾肿瘤HE染色
2025-11-03 10:45
心肝脾肺肾肿瘤HE染色

心肝脾肺肾肿瘤HE染色

心肝脾肺肾肿瘤HE染色

心肝脾肺肾肿瘤HE染色

心肝脾肺肾肿瘤HE染色

心肝脾肺肾肿瘤HE染色

心肝脾肺肾肿瘤HE染色

由于我取了组织后用多聚甲醛固定,然后不小心放-80°一天,后面又放回四度,有没有大神帮忙看看能不能用!
发表评论
0评